top of page

Dive Into the Lives of OMF Surgeons Around the World


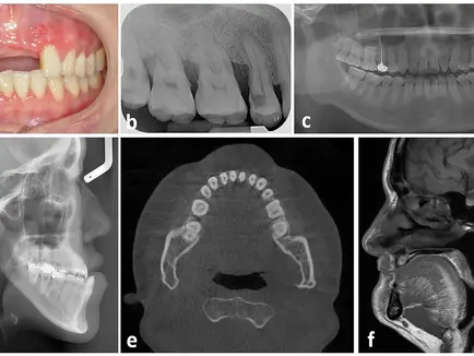
Rethinking Severe Maxillary Atrophy with a Digital “Teeth First” Approach
In the edentulous maxilla, progressive bone resorption often results in an acquired Class III
malocclusion, complicating prosthetic rehabilitation and implant positioning. The teeth-first
approach addresses this challenge by first placing dental implants to define occlusion. This framework then serves as a reference for subsequent orthognathic surgery. This sequence emphasizes three-dimensional planning and facilitates rehabilitation in complex atrophic
maxilla cases.
Devorah Schwartz-Arad
Apr 201 min read


New Research Spotlight: What Predicts Bone Healing After Fibula Free Flap Mandibular Reconstruction?
This study of 75 FFF patients (202 sites) found
that initial osteotomy gap width does not
significantly impact long-term osseous union.
While 86.6% achieved union, fibula–fibula
interfaces and symphyseal locations healed best.
Key determinants of success include systemic
vascular health and fibula morphology rather
than surgical gap precision. Conversely, alcohol
consumption and vascular comorbidities
negatively affect outcomes. 3D-assisted planning
remains vital for complex
Maged Ali Hasan Al-Aroomi
Apr 171 min read


Timing, Outcomes And Biomaterials In The Surgical Repair of Paediatric Orbital Fractures: A Systematic Review And Meta-Analysis
This research article (systematic review and meta-analysis) on paediatric orbital fractures which has been accepted for publication in the upcoming May 2026 edition of the Australasian Journal of Oral & Maxillofacial Surgery (AJOMS).
Adrian Tang
Feb 162 min read


Expanding Horizons: Why Innovation Leadership is the Next Frontier for Oral and Maxillofacial Surgery
Innovation has always been central to progress in Oral and Maxillofacial Surgery, yet the specialty is entering a new era where traditional clinical mastery must be paired with innovation leadership. In this reflective article, Dr. Alterman explores how the profession’s evolution—shaped by expanded MD-integrated training, deeper participation in the medical ecosystem, and increased collaboration with research and industry—demands a broader skill set from today’s surgeons.

Michael Alterman
Feb 163 min read


Open Oral–Maxillofacial Imaging Datasets: Progress, Gaps, and the Path Ahead
Systematic review of 105 open oral–maxillofacial imaging datasets (437,538 images from 21 countries). Nearly 80% include annotations, but only 25.7% report annotator qualifications. 83.8% don’t disclose ethics approvals; 61.9% specify reuse licenses (often CC BY). Authors call for standards and AI-specific consent to guide safe dataset reuse and AI development.
Multiple Authors
Sep 23, 20252 min read


Identifying the Cellular "Accomplices" That Drive Oral Cancer Metastasis
Our study maps the invasive front of oral cancer using spatial transcriptomics. We found that tumor cells are aided by an "accomplice": activated myofibroblastic CAFs (myCAFs). Through ECM-CD44 crosstalk, myCAFs enhance tumor cell stemness, creating a metastatic niche. From this interaction, we extracted a spatially resolved, 23-gene signature that predicts both lymph node metastasis and poor survival, which offers new prognostic biomarkers and therapeutic targets.

Ken Furudate, DMD, PhD
Sep 12, 20251 min read


Point of Care Biomodel Use in Auckland, New Zealand
In Auckland, New Zealand, 3D-printed patient-specific biomodels are transforming clinical practice. Dr. James Olson shares how point-of-care printing enables faster, more accurate treatment for orbital, mandibular, and midface trauma cases—enhancing planning, reducing costs, and improving both surgical and teaching outcomes.

James Olsen
Aug 7, 20251 min read


Join Us in Adelaide: ANZOMS-ASM Conference Invitation
In this video message, you'll get a firsthand invitation to the upcoming ANZOMES-ASM Conference—a global gathering of surgeons, students, researchers, and academics. Learn more about the opportunities to share your work, exchange ideas, and connect with colleagues from around the world. Whether you're presenting, learning, or collaborating, this event promises to be both memorable and impactful.

Paul Sambrook
Jul 29, 20251 min read


Case Report: Enhancing Cleft Lip and Palate Outcomes with Presurgical Lip, Alveolus, and Nose Approximation (PLANA)
This case highlights the successful use of Presurgical Lip, Alveolus, and Nose Approximation (PLANA) in a male infant born at 39 weeks gestation with a right unilateral complete cleft lip and palate. The patient faced significant challenges, including a severe cleft deformity, feeding difficulties, and a cultural and language barrier with the parents. These factors made presurgical intervention essential to optimize outcomes for surgical repair.
Jessica Canallatos
Jul 15, 20253 min read


The Making of the Australasian Journal of Oral & Maxillofacial Surgery (AJOMS)
The Australian & New Zealand Association of Oral & Maxillofacial Surgeons (ANZAOMS) which is the lead Surgical body in the Oceanic Region established the Australasian Journal of Oral & Maxillofacial Surgery (AJOMS) in 2023.

Alastair Goss
May 5, 20251 min read


Oral and Maxillofacial Surgery Research in Brazil:
Oral and maxillofacial surgery (OMFS) research in Brazil has experienced significant advancements driven by technological progress, refined surgical techniques, and robust academic research. This article reviews the current state of OMFS research in Brazil, identifying key areas of investigation, major contributing institutions, and the challenges faced by professionals in the field.

Leonardo Perez Faverani
Apr 11, 20254 min read


Jaw in a Day Using 3D Technology
Use of technology in oral cancer resection and same day reconstruction of the jaws along with implants all in one day.

Tim Manzie
Apr 11, 20251 min read


What’s New in Oral Health? Know Your Oral Cancer RISK with Straticyte
By applying AI analysis of biomarkers unique to your patient’s lesion, Straticyte™ provides deeper insight and analysis helping you and your patient make more informed decisions on treatment and surveillance with confidence.
Mark Rood
Apr 10, 20251 min read
bottom of page

